深度解析:Wellcome Centre for Human Neuroimaging (WCHN) 如何定义现代脑科学研究
报告目录
引言:解码世界级科研机构的成功范式
在知识经济时代,顶尖科研机构不仅是前沿知识的生产者,更是行业范式、技术标准和人才生态的塑造者。它们如同星辰,不仅自身发光发热,其引力场更深刻地影响着整个星系的运行轨迹。理解这些机构的运作模式,无异于解码一个领域发展的底层逻辑。在探索人类心智最终奥秘的征途上,位于伦敦大学学院(UCL)的惠康人类神经影像中心(Wellcome Centre for Human Neuroimaging, WCHN)无疑是其中最耀眼的灯塔之一。
自1994年其前身功能成像实验室(FIL)成立以来,WCHN不仅在学术上取得了累累硕果,产出了海量高影响力论文,更通过其独特的战略选择——从方法论的开源、宏大理论的构建到前沿技术的突破——深刻地定义了现代认知神经科学的研究范式。它所开发的工具成为全球实验室的标准配置,它所提出的理论引发了跨学科的广泛讨论,它所培养的人才遍布世界各地。可以说,WCHN的历史,在很大程度上就是过去三十年神经影像学发展的缩影。
本报告旨在超越信息的简单罗列,通过深度剖析WCHN的核心技术、战略思想与生态系统,系统性地揭示其成功的“蓝图”。我们将深入探讨其方法论、理论和技术“三位一体”的创新引擎,分析其如何通过“开放”与“合作”构建全球影响力网络,并审视“人”这一核心要素在其中扮演的关键角色。最终,本报告将提炼出一个可供借鉴的分析框架,旨在为研究人员、政策制定者和科技战略家提供一个理解和评估顶尖科研机构的完整视角。
第一部分:组织速览 - WCHN 的身份与使命
本章旨在快速建立读者对WCHN的基本认知,通过简洁、信息密集的方式,为其复杂的组织画像勾勒出清晰的轮廓,为后续的深入分析奠定基础。
位于伦敦皇后广场12号的惠康人类神经影像中心,毗邻国家神经内外科医院
1.1 基础信息档案
以下表格系统性地梳理了WCHN的关键档案信息,所有信息均通过官方网站及权威第三方资料交叉验证。
1.2 发展脉络:从实验室到世界级中心
WCHN的发展历程是技术迭代、战略远见与持续资助共同作用的结果,其演进可分为三个关键阶段:
第一阶段 (1994-2006): 功能成像实验室 (FIL) 与认知神经学系时代。 在惠康基金会 的重大资助下,功能成像实验室(FIL)于1994年成立,并被整合为UCL神经学研究所下的“惠康认知神经学系”。由Richard Frackowiak教授领导,这一时期的核心任务是利用当时最前沿的正电子发射断层扫描(PET)技术,探索人类认知的基本问题。随着功能性磁共振成像(fMRI)技术的兴起,中心迅速完成了从PET到fMRI的技术转型,并在2004年退役了PET设备,为其后续的飞跃奠定了技术基础。
第二阶段 (2006-2016): 惠康基金会神经影像中心时代。 凭借在fMRI领域的卓越成就,实验室在2006年成功申请到惠康基金会的战略奖项,正式升级为“惠康基金会神经影像中心”。在主任Ray Dolan和科学总监Karl Friston的领导下,中心进入了计算建模方法的黄金时代。这一时期,以动态因果模型(DCM)为代表的计算工具被大力发展,中心的研究重心从“大脑在哪里活动”的定位问题,转向“大脑区域如何相互作用”的机制问题。
第三阶段 (2016-至今): 惠康人类神经影像中心时代。 中心更名为现用名,进一步明确其专注于“人类”大脑研究的定位。在Cathy Price和现任主任Martina Callaghan的领导下,中心继续拓展技术边界,于2019年安装了7T超高场强MRI,并与外部合作开发可穿戴MEG等革命性设备。同时,中心全面拥抱“开放科学”理念,并积极参与UK Biobank等大规模国际合作项目,其影响力从单一研究中心扩展至全球性的研究网络。
1.3 核心使命与研究版图
根据其官方网站 的阐述,WCHN的核心使命可以概括为两点:
基础研究层面: 调查人类大脑如何产生行为、思想和情感。
临床应用层面: 利用这些知识帮助患有神经和精神疾病(如中风、帕金森病、抑郁症等)的患者。
为实现这一使命,WCHN的研究版图覆盖了从基础认知功能到复杂理论模型的广泛领域。其高度专业化的研究团队专注于特定的功能系统,主要包括:
核心认知功能: 记忆 (Memory)、语言 (Language)、视觉 (Seeing)、听觉 (Hearing)、行动 (Action)、决策 (Decision Making)、情感 (Emotion)等。
高级认知与理论: 导航 (Navigation)、自我意识 (Self awareness)、社会行为 (Social Behaviour),以及作为其核心理论框架的“贝叶斯大脑” (The Bayesian Brain) 假说。
这种组织结构使得研究人员能够深入钻研特定神经系统,同时又能在一个统一的理论和方法论框架下进行交叉合作,从而将对特定功能(如运动)的研究与相关疾病(如帕金森病)的研究紧密结合起来。
第二部分:核心引擎 - WCHN 的技术、理论与方法论
如果说第一部分描绘了WCHN的“骨架”,那么本章将深入其“心脏与大脑”,剖析驱动其持续创新和保持全球领导地位的“三位一体”核心引擎:革命性的分析方法、深刻的统一理论和前沿的成像技术。这三者相互促进,形成了一个强大的创新飞轮,是理解WCHN成功模式的关键。
2.1 方法论革命:SPM——定义神经影像分析的“世界语”
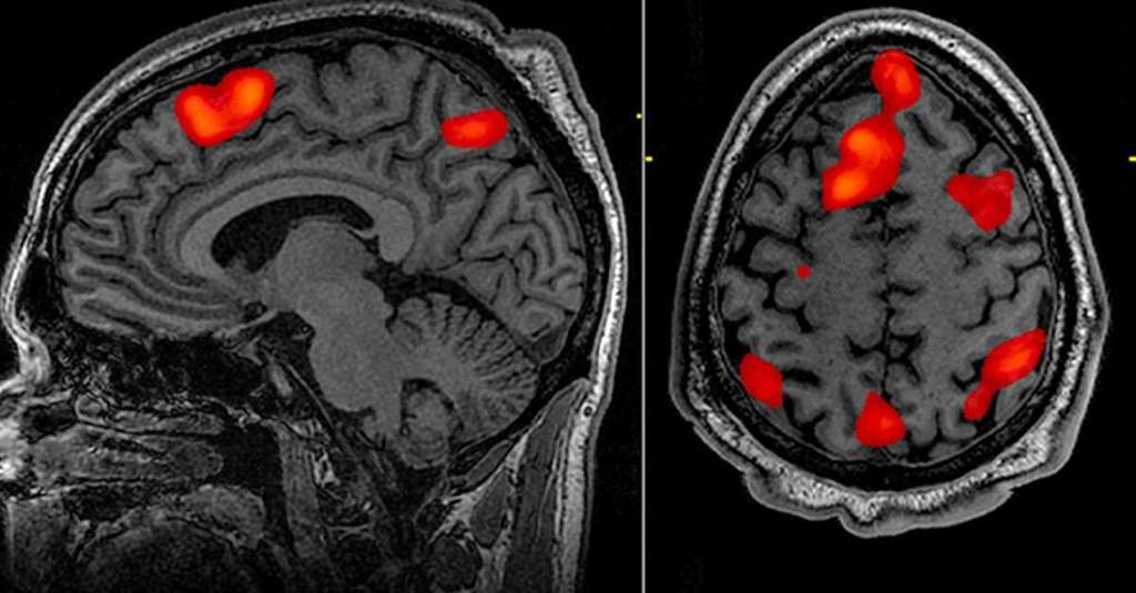
在WCHN众多贡献中,统计参数图(Statistical Parametric Mapping, SPM)无疑是其对科学界最具体、最深远、最不可替代的“产品”。它不仅是一个软件,更是一套完整的方法论,从根本上改变了功能神经影像领域的研究生态。
由fMRI扫描生成的大脑活动图,红色区域表示统计上显著的激活。SPM为此类数据的分析提供了标准化框架
SPM是什么?
SPM指的是一个概念框架和一套据此开发的开源软件包,用于对功能性脑成像数据序列(如fMRI, PET, MEG/EEG)进行统计分析。其核心思想是在大脑的每一个体素(voxel,即三维像素)上进行统计检验,从而生成一个显示统计显著性区域的“参数图”。这个软件包由中心的核心人物Karl Friston 在中心成立早期于Hammersmith医院时期便开始编写,并随着中心的发展不断完善。
为何是“革命”?
在SPM出现之前,神经影像数据分析领域处于“各自为战”的混乱状态。不同实验室使用不同的自编方法,导致研究结果难以比较和重复,严重阻碍了知识的积累和领域的规范化发展。SPM的出现带来了秩序:
标准化框架: SPM提供了一套从数据预处理(如空间配准、平滑)到统计建模和推断的完整、标准化的分析流程。这使得全球的研究者有了一套共同的“语法”,可以对不同研究的结果进行有意义的比较和元分析(meta-analysis)。
理论严谨性: SPM的背后是坚实的数学和统计理论基础,如高斯随机场理论(Gaussian Random Field Theory),为处理多重比较问题(即在大脑数万个体素上同时进行检验时如何控制假阳性)提供了优雅的解决方案。
“开放”的力量:从工具到生态
WCHN最具战略远见的决策,是自始至终将SPM作为免费和开源软件 向全球社区发布。这一策略的深远影响体现在:
“SPM免费提供给神经影像社区,旨在促进实验室之间的合作和通用分析方案。” —— SPM官网
降低准入门槛: 全球任何研究者,无论其资金状况如何,都可以免费获取这一顶级的分析工具,极大地促进了神经影像研究的普及和全球化。
构建社区与生态: 开放的特性吸引了庞大的用户和开发者社区。SPM的开发托管在GitHub 上,允许用户报告问题、请求新功能甚至贡献代码。在其周围,涌现出大量兼容的工具箱(Toolbox),扩展了SPM的功能,形成了一个繁荣的生态系统。
巩固领导地位: 通过“赠与”工具,WCHN确立了其在方法论上的领导地位。全球数以千计的研究者在使用SPM时,无形中接受了WCHN的技术范式和分析哲学。每一次SPM课程的举办,都是一次其影响力的播种。从早期的SPM91到SPM12,再到最新的SPM25,版本的持续迭代也保证了其技术的领先性。
可以说,SPM是WCHN将学术思想转化为全球性基础设施的最成功范例。它不仅是WCHN对科学界最核心的贡献,也是其“开放科学”战略的奠基之作。
2.2 理论基石:贝叶斯大脑与自由能原理——探索心智的“第一性原理”
如果说SPM是WCHN的“手”和“工具”,那么驱动这一切的“大脑”和“灵魂”,则是以“贝叶斯大脑”假说和“自由能原理”为核心的宏大理论框架。这一框架同样主要由Karl Friston提出,它试图为理解心智、大脑和行为提供一个统一的、基于物理学和统计学第一性原理的解释。
Karl Friston教授,WCHN的科学总监,自由能原理和SPM等关键理论与方法的提出者
理论阐释:大脑作为预测机器
贝叶斯大脑 (The Bayesian Brain): 这一假说认为,大脑并非被动地处理感觉输入,而是一个主动的“统计推断器官”。它持续地利用过去的经验(先验知识)生成关于世界原因的假设(或模型),并预测即将到来的感觉信号。当实际的感觉信号与预测不符时,就会产生“预测误差”。大脑通过不断更新其内部模型来最小化这个预测误差,从而实现感知和学习。
自由能原理 (The Free-Energy Principle): 这是“贝叶斯大脑”假说在数学和物理学上更为根本的表述。它提出,任何自组织系统(从单细胞生物到人类大脑)为了在环境中维持其自身的存在,都必须最小化其“变分自由能”。自由能在这里可以被通俗地理解为“惊奇”(surprise)或预测误差的上限。因此,我们所有的感知、学习和行动,都可以被看作是为了最小化“惊奇”,即让世界变得更可预测的过程。
从理论到实践:动态因果模型 (DCM)
WCHN的卓越之处在于,它不让理论悬浮于空中,而是将其转化为可检验、可应用的具体分析工具。动态因果模型(Dynamic Causal Modeling, DCM)就是最佳例证。DCM是一个基于贝叶斯框架的复杂建模技术,它旨在从测量的神经影像数据(如fMRI)中推断出大脑区域之间隐藏的“有效连接”(effective connectivity),即一个区域如何影响另一个区域的活动。
与仅仅描述相关性的功能连接分析不同,DCM试图揭示连接的“方向性”和“因果性”,并能检验这些连接如何被外部任务或情境所调节。这完美地体现了“贝叶斯大脑”的思想:研究者首先构建关于大脑网络如何工作的不同“生成模型”,然后利用DCM和贝叶斯模型比较,来评估哪个模型能最好地解释观测到的数据。这使得研究者能够超越“哪里亮了”,去检验关于大脑信息处理机制的具体假设。
思想领导力
以自由能原理为核心的理论框架,是WCHN学术声望的根源。它为认知神经科学的各种现象(如注意、决策、精神分裂症的幻觉等)提供了一个统一的解释框架。其影响力远远超出了神经影像领域,对计算神经科学、人工智能(特别是在主动推断 Active Inference 和类脑智能领域)、精神病学乃至哲学都产生了深远的影响。Karl Friston本人也因此成为世界上被引用次数最高的科学家之一 。这种强大的理论构建能力,确保了WCHN不仅是一个数据生产者,更是一个思想策源地。
2.3 技术前沿:从 7T MRI 到可穿戴 MEG——突破感知的物理极限
WCHN的创新飞轮的第三个关键部件是其对前沿硬件技术的持续投入和开发。先进的“望远镜”能够看到更遥远、更清晰的宇宙。同理,更强大的成像技术能够揭示更精细、更动态的大脑活动,为验证宏大理论和应用创新方法提供物理基础。
超高场强磁共振 (7T MRI): 窥探大脑的微观结构
2019年5月,WCHN安装了一台西门子7特斯拉(7T)MRI扫描仪。相比于常规的3T MRI,7T MRI提供了显著的优势:
更高的信噪比和分辨率: 强大的磁场意味着可以获得更清晰、更细致的图像,能够分辨更小的大脑结构,实现所谓的“体内组织学”(in vivo histology),即在活体上达到接近显微镜级别的组织结构细节。
更高的敏感性: 对于功能成像(fMRI),7T能更敏感地检测到由神经活动引起的血氧水平依赖(BOLD)信号的变化,从而更精确地定位大脑功能。
这一“利器”的引入,使得WCHN的研究者能够探索之前无法触及的科学问题,例如,在亚皮层结构或皮层不同层次中进行功能定位,从而为检验关于大脑计算的精细模型提供了可能。
WCHN安装的7特斯拉(7T)MRI扫描仪,为研究大脑精细结构和功能提供了前所未有的分辨率
可穿戴脑磁图 (OPM-MEG): 解放大脑研究
或许比7T MRI更具革命性的是WCHN参与开发的新一代脑磁图(MEG)系统。传统MEG设备虽然时间分辨率极高(毫秒级),但存在巨大痛点:设备笨重如半吨,需要液氦超低温冷却,且要求受试者在扫描过程中绝对静止,任何微小移动都可能使数据失效。这使得对儿童、运动障碍患者(如帕金森病)的研究变得异常困难,也无法研究自然状态下的行为。
WCHN与诺丁汉大学Peter Mansfield爵士成像中心 合作,利用一种新型的“光泵磁力计”(Optically Pumped Magnetometers, OPMs)量子传感器,开发了可穿戴的MEG系统。其革命性意义在于:
可穿戴与可移动: OPM传感器轻便且在室温下工作,可以集成在类似头盔的设备中。受试者可以戴着它自然地活动,如点头、喝水甚至玩乒乓球,这为研究真实世界任务和社交互动中的大脑活动打开了大门。
更高的灵敏度: 传感器可以直接贴在头皮上,离大脑更近,从而显著提升了信号拾取能力,预计灵敏度可提升4倍以上,对婴儿甚至能提升15-20倍。
对特殊人群友好: 由于允许移动且头盔可定制,该系统极大地改善了对儿童、婴儿以及患有癫痫、帕金森等疾病的患者的扫描体验和数据质量。
这项由惠康基金会资助的合作项目 ,完美展示了WCHN如何通过技术创新驱动科学范式的变革。它不仅解决了现有技术的瓶颈,更为检验其核心理论(如在真实互动中大脑如何进行预测)提供了全新的实验平台。
新一代可穿戴MEG系统允许受试者在进行任务时自然活动,极大地拓展了神经影像研究的边界
关键要点总结
WCHN的核心引擎是一个紧密耦合的创新系统:宏大的理论框架 (贝叶斯大脑)提出了关于大脑工作原理的深刻问题;强大的分析方法 (SPM/DCM)提供了检验这些问题的“数学语言”;而前沿的成像技术 (7T/OPM-MEG)则提供了获取高质量观测数据的“物理工具”。三者循环驱动,使WCHN始终站在神经科学研究的最前沿。
第三部分:网络效应 - WCHN 的开放生态与战略合作
如果说WCHN的内部创新引擎解释了其“深度”,那么其对外构建的开放生态与战略合作则解释了其“广度”。WCHN深谙,在21世纪的科学竞争中,单打独斗的时代已经过去,通过网络效应放大影响力是成为全球领导者的不二法门。本章将剖析WCHN如何通过“开放科学”和“战略结盟”两大策略,将其影响力从伦敦皇后广场的一个中心,辐射至全球性的研究网络。
3.1 开放科学:从理念到实践的文化基因
“开放科学”(Open Science)是WCHN的核心文化基因和战略选择。它并非一句空洞的口号,而是贯穿于软件、数据、教育等各个层面的具体实践。其愿景 是“发展一个默认体现最佳实践的研究环境,提供工具、培训和基础设施,使研究人员能够更容易地参与、利用并受益于开放科学倡议”。
开源软件 (SPM): 正如前文所述,SPM是WCHN开放策略最成功的典范。通过免费提供核心分析工具,WCHN不仅推动了整个领域的标准化,更围绕自身建立了一个庞大的全球用户社区,这是一种“通过给予来领导”的高明策略。
数据与方法共享: WCHN致力于推动实验方法和数据的透明化与可复用性。这包括公开其开发的成像序列、实时图像重建流程,并支持使用“脑成像数据结构”(Brain Imaging Data Structure, BIDS)这一标准化数据格式。此外,中心正在构建一个数据共享平台 ,遵循FAIR(可发现、可访问、可互操作、可重用)原则,同时探索让研究参与者完全控制其数据使用的创新模式。
教育与培训: WCHN定期在世界各地举办广受欢迎的SPM课程,这些课程不仅是技术培训,更是其方法论和科学文化的全球传播。通过培养数以千计的研究者,WCHN将其学术“DNA”植入了全球的神经影像社区。
WCHN的开放科学战略,本质上是一种构建“网络效应”的智慧。通过主动分享其最有价值的智力资产,它吸引了全球的人才、数据和关注,从而巩固了自身作为领域标准制定者和思想领导者的地位。这是一种非零和博弈,通过赋能整个社区来提升自身的中心地位。
3.2 合作版图:构建多层次的创新联盟
WCHN积极参与并主导多层次的合作网络,这些合作是其解决单中心无法应对的重大科学挑战、保持前沿视野的关键。其合作版图可以清晰地划分为内部、国家和国际三个层面。
内部协同:UCL内部的强强联合
在UCL内部,WCHN与马克斯·普朗克UCL计算精神病学与年龄研究中心 (Max Planck UCL Centre for Computational Psychiatry and Ageing Research)的合作尤为紧密。该中心由德国马普学会和UCL联合建立,专注于利用计算模型研究精神疾病和认知老化。WCHN与该中心在人员、项目和理论上高度整合,形成了神经影像数据与计算模型之间的完美闭环,共同推动了计算精神病学这一新兴领域的发展。这一合作于2024年被成功续期至2030年 ,足见其战略重要性。
国家级合作:引领英国大科学项目
英国生物银行 (UK Biobank): 这是WCHN最重要的国家级合作之一。UK Biobank是一项针对50万英国参与者的大规模前瞻性队列研究,其中10万名参与者接受了包括大脑MRI在内的多模态成像。WCHN与牛津大学的惠康综合神经影像中心(WIN)共同承担了UK Biobank脑成像数据的处理和分析流程开发 。WCHN主要基于其开发的FSL软件库,建立了自动化的图像处理和质量控制流水线,并生成了数千种“影像衍生表型”(IDPs)。这项工作不仅极大地提升了WCHN在大规模数据处理和分析领域的声誉和能力,也使其能够利用这一无与伦比的数据资源进行前沿研究。
大学合作 (OPM-MEG): 与诺丁汉大学在可穿戴MEG上的合作,是典型的跨机构、跨学科攻克关键核心技术的案例,展示了其整合英国国内顶尖研究力量的能力。
国际级联盟:置身全球研究网络中心
WCHN是多个大型国际研究联盟的核心成员,这使其能够参与解决需要全球样本量的重大科学问题。
通过这张多层次的合作网络,WCHN确保了自己始终处于全球神经科学研究的核心节点,能够接触到最优质的数据资源,参与到最前沿的科学议题中,并将其影响力扩展到世界范围。
第四部分:人文要素 - 领袖、人才与社会互动
科学终究是人的事业。WCHN的成功,除了冷峻的理论、精密的仪器和高效的策略,更离不开其背后鲜活的“人”——那些塑造了中心灵魂的思想领袖,源源不断输送新鲜血液的人才培养体系,以及与社会建立的深刻连接。本章将从人文要素的视角,探寻WCHN成功的根基。
4.1 群星闪耀:塑造中心的思想领袖
一个顶尖机构的气质,往往由其关键人物所定义。WCHN的群星谱中,几位科学家的贡献尤为突出,他们的思想和工作共同塑造了中心的学术形象。
理论家 (The Theorist) - Karl Friston: 如前所述,Friston是WCHN当之无愧的理论引擎。他不仅发明了SPM这一改变游戏规则的工具,更提出了自由能原理这一极具雄心的统一理论。他的工作赋予了WCHN一种独特的理论深度和哲学气质,使其研究不仅仅是经验数据的堆砌,而是对心智第一性原理的不断探索。他是WCHN思想领导力的核心象征。
认知先驱 (The Cognitive Pioneer) - Eleanor Maguire: 如果说Friston代表了WCHN的理论高度,那么已故的Eleanor Maguire教授则代表了其在认知神经科学领域的经典与辉煌。她最为人所知的研究,莫过于对伦敦出租车司机大脑的研究 。通过MRI扫描,她发现经验丰富的出租车司机其大脑中负责空间记忆的海马体后部显著增大,这一发现雄辩地证明了成人大脑的神经可塑性。Maguire教授是利用神经影像技术研究真实世界技能和自然情境记忆的先驱,她的工作,特别是关于海马体在场景构建、记忆和未来想象中作用的理论,深刻改变了我们对人类记忆的理解 。她的研究是WCHN将严谨科学与生动现实完美结合的典范。
历任掌舵人 (The Directors): 从创始人Richard Frackowiak奠定基础,到Ray Dolan引领计算建模时代,再到Cathy Price和现任主任Martina Callaghan推动技术创新和开放科学,WCHN的历任主任在不同发展阶段做出了精准的战略决策,保证了中心这艘大船始终航行在正确的航道上。这种平稳而富有远见的领导力传承,是其长盛不衰的重要保障。
已故的Eleanor Maguire教授,其关于伦敦出租车司机的研究是认知神经科学领域的里程碑
4.2 未来基石:下一代研究者的摇篮
WCHN深知,机构的未来取决于其培养人才的能力。因此,它构建了一个从学生到资深研究者的完整、结构化的教育和培训体系,旨在“培养下一代神经影像研究者和临床医生”。
结构化培训体系: WCHN为研究生(硕士和博士)和博士后研究员提供全面的培训计划。这不仅包括常规的学术指导和小组会议,还设有如“Methods for Dummies”等特色内部课程,旨在帮助来自不同背景的研究者快速掌握核心方法论。其目标是培养“方法论神经科学家”,即不仅懂科学问题,更精通技术开发和数据分析的复合型人才。
跨学科与合作文化: 中心强调跨学科合作,鼓励学生和青年研究者参与到跨团队、跨机构的项目中。这种环境培养了他们的协作能力和广阔视野,使其能够应对日益复杂的科学挑战。
人才溢出效应: WCHN不仅是人才的“吸铁石”,更是人才的“播种机”。从这里走出的研究人员遍布全球顶尖大学和研究机构,他们不仅继续从事前沿研究,也成为了WCHN学术思想和技术范式的传播者。这种“学术血脉”的延伸,是WCHN全球影响力的重要组成部分。例如,其In2research项目 ,旨在帮助来自弱势背景的本科生和毕业生进入科研领域,体现了其在促进科研公平性方面的社会责任。
4.3 连接社会:让科学走进公众与临床
WCHN并非一个与世隔绝的象牙塔,它积极地与社会进行互动,将科学研究与公众需求和临床应用紧密相连。
公众参与 (Public Engagement)
WCHN的公众参与策略强调“有意义的互动”和“共同设计”。其目标是将公众和患者的声音融入研究过程 ,以实现更好的科学。最典型的案例是OPM-MEG的合作项目 。WCHN与青年癫痫慈善机构Young Epilepsy合作,邀请年轻患者及其家人共同参与:
共同设计扫描头盔: 让头盔不仅功能强大,而且外观有趣、佩戴舒适。
共同设计扫描任务: 开发在扫描过程中可以进行的、令人愉快的活动。
共同设计科普材料: 制作易于理解的资源来解释扫描过程。
这种模式超越了单向的科学普及,将终端用户(患者)转化为了研究过程的积极参与者和贡献者,这不仅提升了研究的人文关怀,也实实在在地改善了技术的设计和应用。
临床转化 (Clinical Translation)
WCHN的地理位置本身就体现了其强烈的临床导向——它与国家神经内外科医院(NHNN) 毗邻而居。这种紧密的物理和合作关系,为基础研究与临床实践的结合提供了得天独厚的条件。中心的研究始终以解决神经和精神疾病为最终目标,例如:
研究帕金森病患者的运动控制系统,以寻找早期诊断的生物标记物。
研究中风后语言功能(失语症)的恢复机制,并开发数字干预工具(如SWAN项目 )。
利用计算模型理解抑郁症和焦虑症等精神疾病的认知偏差。
通过将前沿的神经影像技术和计算模型应用于临床问题,WCHN致力于实现其“提供个性化预后和治疗计划”的临床转化愿景。
第五部分:综合评估与展望 - WCHN 的成功蓝图与未来启示
经过对WCHN组织、引擎、网络和人文要素的层层剖析,我们现在可以整合所有线索,提炼其成功的核心逻辑,并展望其未来的发展轨迹。本章不仅是对WCHN的最终评估,更旨在为读者提供一个可复用、可迁移的分析框架,用于理解任何一个领域的顶尖科研机构。
5.1 成功蓝图:WCHN 模式的核心启示
WCHN的成功并非偶然,而是其长期坚持的一套环环相扣的战略选择所致。其成功蓝图可以概括为以下四个核心启示:
启示一:构建“理论-方法-技术”的创新飞轮
WCHN最核心的竞争力在于其内部形成了一个强大的、自我强化的创新闭环。这个飞轮的运转模式是:
宏大理论 (如贝叶斯大脑) 提出关于大脑工作原理的根本性问题和统一框架。
创新方法 (如SPM, DCM) 将抽象理论转化为可操作、可检验的数学模型和分析工具。
前沿技术 (如7T MRI, OPM-MEG) 提供更高维度、更高质量的观测数据,为检验理论和应用方法提供物理基础。
新的科学发现 反过来修正、丰富和发展理论,从而启动下一轮循环。
这个飞轮效应使得WCHN的创新不是单点的、零散的,而是系统的、持续的,并始终保持理论、方法和技术的协同演进。
启示二:将“开放”作为核心战略,以“赠与”实现“引领”
WCHN深刻理解,在知识共享时代,控制不再是权力的唯一来源,影响力同样是。它选择将自己最宝贵的智力资产——SPM软件——免费开放给全世界。这一看似“无私”的举动,实则是一种高明的战略:
赠与工具,获得标准: 通过提供免费、高质量的工具,WCHN确立了神经影像分析的“行业标准”。
赠与知识,获得社区: 通过开放课程和代码,它围绕自身建立了一个庞大的、忠诚的全球用户和开发者社区。
赠与平台,获得数据与洞见: 通过参与和主导开放数据项目,它获得了处理和分析海量数据的机会,从而产生单中心无法获得的洞见。
这种“开放即引领”的策略,使其在非零和博弈中,通过赋能整个生态系统而牢牢占据了生态的核心位置。
启示三:战略性结盟,利用网络力量解决超大规模问题
WCHN清晰地认识到自身能力的边界,并有选择性地加入或主导关键的大科学合作项目。无论是参与UK Biobank处理十万人的脑影像数据,还是加入ENIGMA联盟进行全球元分析,这些战略结盟使其能够:
获取规模优势: 接触到单中心永远无法企及的数据规模,从而能够检测到微弱但重要的效应。
分担风险与成本: 与合作伙伴共同承担开发新技术、运营大平台的巨大投入。
保持中心地位: 确保自身始终处于全球最重要研究网络的核心节点,不错过任何重大的科学浪潮。
启示四:顶尖领袖与人才梯队的双重驱动
归根结底,所有的战略都由人来执行。WCHN的成功离不开:
思想领袖的远见: 以Karl Friston为代表的顶尖科学家提供了超越时代的前瞻性思想,定义了机构的学术高度和方向。
人才培养的体系: 完善的教育和培训体系,确保了创新活力能够代际传承,并向全球输送带有WCHN“烙印”的人才,形成了长期的影响力网络。
这种顶层设计与梯队建设的结合,是WCHN能够保持三十年长盛不衰的根本动力。
5.2 实践指南:如何系统性分析一个顶尖科研机构?
WCHN的案例为我们提供了一个分析同类顶尖机构的通用框架。当面对一个复杂的科研实体时,我们可以通过以下“四步法”来穿透表象,抓住其本质:
第一步:寻找其“皇冠上的明珠”——识别核心贡献。
核心提问: 该机构最不可替代的、定义了一个领域的“产品”或“贡献”是什么?这个贡献解决了什么关键痛点?
WCHN案例: 答案毫无疑问是SPM。分析SPM的诞生背景、技术细节、开源策略及其对整个领域规范化的影响,就抓住了WCHN对科学界最硬核的贡献。
第二步:探寻其“北极星指标”——揭示指导哲学。
核心提问: 驱动其所有研究和决策的底层思想、核心理念或文化基因是什么?
WCHN案例: 是“贝叶斯大脑”的统一理论框架和“开放科学”的文化战略。理解这两点,就能明白其为何投入巨大资源开发计算模型,以及为何坚持开源其核心软件。这是其行为逻辑的根源。
第三步:绘制其“权力网络”——分析生态与合作。
核心提问: 它如何通过与他人的连接来放大自身影响力?它的关键盟友是谁?它在哪些关键的联盟或项目中扮演了什么角色?
WCHN案例: 其与UK Biobank、ENIGMA、马普UCL中心、诺丁汉大学的合作网络,是其影响力的倍增器。绘制这张网络图,就能清晰地看到其在全球科学格局中的位置和影响力通路。
第四步:评估其“人才引擎”——审视人力与文化。
核心提问: 谁是塑造其灵魂的关键人物?它如何吸引、培养和输出人才?其内部文化有何特点,是否有利于创新?
WCHN案例: Karl Friston、Eleanor Maguire等领军人物的个人魅力和学术贡献,以及其从“Methods for Dummies”到博士后培养的完整体系,共同构成了其持续发展的动力源。
5.3 未来展望:WCHN 将走向何方?
基于以上分析,我们可以对WCHN的未来发展趋势做出有根据的预测:
短期趋势 (1-3年)
新技术的成果爆发期: 随着7T MRI和可穿戴OPM-MEG技术的成熟,预计将有一批利用这些新工具的突破性研究成果发表,特别是在更自然状态下的认知功能(如社交互动、儿童发育)和大脑微观结构-功能关系方面。
分析工具的智能化升级: 新一代分析软件(如SPM25)将得到更广泛的普及。同时,可能会更深度地整合机器学习和人工智能技术,以应对更大规模、更多模态的数据,并实现更自动化的分析流程。
长期趋势 (5年以上)
从模型到临床的转化: WCHN将面临的最大挑战和机遇,是将其复杂的计算模型(特别是基于自由能原理的模型)转化为可在临床上应用的工具。这可能包括开发用于精神疾病(如精神分裂症、抑郁症)早期诊断、预后判断和个性化治疗的计算生物标记物(computational biomarkers)。
在通用人工智能(AGI)浪潮中扮演关键角色: 随着AI领域对“类脑智能”的兴趣日益浓厚,WCHN凭借其在“贝叶斯大脑”和主动推断理论上的深厚积累,极有可能成为这一交叉领域的重要理论策源地。其研究可能为构建更具通用性、更能理解世界因果关系的AI系统提供关键的理论启发。
总而言之,惠康人类神经影像中心(WCHN)不仅是神经科学领域的一座丰碑,更是新时代科研机构成功范式的一个缩影。它通过理论、方法与技术的协同创新,以开放和合作为杠杆,撬动了全球的资源与智慧,最终实现了对一个学科的定义和引领。它的故事告诉我们,最深刻的领导力,源于最慷慨的分享和最执着的探索。